原发性血小板增多症诊断与治疗办法
作者:佚名 日期:2016年01月27日 来源:本站原创 浏览:


  原发性血小板增多症诊断与治疗办法

  原发性血小板增多症(ET)是一种少见的血液病,发病率约为 0.4-2.5/100000 人 / 年,多见于 50-60 岁女性。过去十年,由于分子生物学、临床试验以及回顾性研究的发展,ET 的诊断和治疗方法经历了一次又一次的变化。来自英国的 Alimam 教授结合病例对 ET 的诊断与治疗进行了综述,相关内容发表于 2015 年的 BJH 上,现为大家介绍如下。

  如何诊断 ET?

  40 岁女性,血小板计数 1100 x 109/L,血红蛋白 123 g/L,白细胞计数与血细胞比容正常。烟龄 10 年,每天 5 支,体重指数 23。患者自述无症状,无血栓及出血病史,体格检查正常,脾不肿大。

  血小板增多是一个常见的表现,涉及到多种疾病,所以,当临床上遇到这样一个患者,诊断思路可以遵循英国血液学标准委员会(BCSH)的指南(图 1)。首先询问病史并进行详细的检查,在本例中,吸烟史就是一个关键点,因为吸烟不仅是血小板增多的原因,也会增加血管意外的风险。另外,吸烟会增加 ET 患者血栓栓塞的风险。

1.png

  图 1. BCSH 指南诊断血小板增多症的流程

  BCSH 和 WHO 对 ET 的诊断指南是以血液学、组织学以及临床上的指标来制定的,但实际运用中,更注重排除该疾病是慢性髓性白血病的可能性。

  当排除血小板增多是由继发因素引起之后,Alimam 教授首先检测 JAK2 V617F 是否突变。95% 以上真性红细胞增多症(PV),50%~60% 的 ET 和原发性骨髓纤维化(PMF)的患者,以及诸如患骨髓异常增生综合征等恶性疾病的患者,JAK2 V617F 存在突变。对 JAK2 V617F 突变阴性的患者,检测 CALR,如果 CALR 也阴性,则检测促血小板生成素受体(MPL)基因。

  镜下泪滴状的异形红细胞及白细胞红细胞增生是 PMF 的特点,血涂片也可排除 PMF。此外,骨髓组织学常用于诊断,前提是有好的骨髓病理,并由优秀的血液病理学专家来读片。

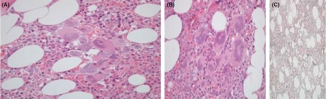
  PV 典型的骨髓病理表现为在增生的骨髓组织中,出现多形巨核细胞、正常的粒细胞、成熟的红细胞(图 2)。铁储备也是一种重要的检测项目,如果铁缺乏,应进一步检测红细胞数。对于 10%~20% JAK2 V617F、CALR 和 MPL 突变均阴性的患者,应该进一步检查其血小板增多的原因。骨髓检查和细胞遗传学分析均为不错的方式,但对预后判断的作用较小。

2.png

  图 2.PV 的骨髓病理表现

  当然,更重要的是将单个的检查项目进行综合分析。ET 典型的骨髓表现包括正常细胞以及鹿角形的巨核细胞(图 3)。根据 BCSH 指南指导,只要不存在提示 MF 的因素,当网状蛋白纤维水平 ≤ 2 级时,可以诊断 ET。WHO 的标准规定,MF 纤维化水平 ≥ 3 级,而 ET 不能有明显的纤维化表现。介于两种标准之间的被称为未分类的骨髓增殖性疾病(图 4)。

3.png

  图 3.ET 的骨髓病理表现

4.png

  图 4. 未分类的骨髓增殖性肿瘤的骨髓病理表现

  多学科会议(MDM)达成了旨在诊断复杂 ET 的共识,特别是为了将这类疾病与 PMF 和 ET 后出现的 MF 区别开来。这一共识使得大多数病理学家通过 组织学检查能将 ET 与 PMF 和早期 PV 区别开来。

  3%~8% 的 ET 患者会出现 MF(PET-MF),其概率随着年龄和 ET 的病程而增加。对于这一类患者,原始的骨髓表现可用于对比,因此意义重大,特别是对于年轻的 ET 患者。已经确诊的 ET 患者应该反复评估外周血涂片,并且检测是否有脾肿大,以期在第一时间发现 ET 向 MF 的转变。

  如何治疗 ET?

  68 岁男性,患高血压与 II 型糖尿病,服药治疗。查血小板计数 1055 x 109/L,血红蛋白、白细胞计数和铁蛋白正常。既往无血栓和出血病史,骨髓活检显示,巨大的巨核细胞,部分细胞核分裂,纤维化水平 0/3,存在 JAK2 V617F 突变。

  应根据患者的危险分级以及出现的症状,进行个体化治疗。超过 60 岁及既往有血栓病史的患者,其血栓栓塞的风险提高,这类人群需要更为积极的应对。除了应用阿司匹林及减少细胞数量的药物,还可以通过调整饮食、戒烟、对症处理和心理支持等方式来治疗。

  病例二中,应努力将患者的体重、血糖以及血压控制在理想的范围,由于患者年龄大于 60 岁,因此应常规使用阿司匹林及减少细胞数量的药物,另外也可以用羟基尿素(HC)。

  1. 危险分级

  根据患者的年龄及是否有血栓病史将患者的危险度分为低中高三级(图 5)。年龄小于 60,无症状并且血小板计数小于 1500*109/L,但有血栓形成风险的患者,其与正常人无异。年龄超过 60 或既往有血栓病史的患者,其形成血栓的风险为正常人的两倍。白细胞计数也与血栓的发生有关,当大于 10*109/L 时,血栓风险增加。

5.png

  图 5.ET 患者的危险度分级

  近来,通过对 ET 患者的回顾性调查,产生了国际预后评分(IPS)-ET 血栓模型。该模型综合考虑患者年龄、既往有无血栓病史、有无心血管危险因素以及是否存在 JAK2 V617F 突变。IPS-ET 系统将患者再次进行分类,并给予不同的治疗。CALR 突变可以降低血栓的风险,未来,这也许会成为危险分级的一个考虑因素。

  目前,BCSH 指南依旧是进行危险分层的标准,对于高危患者,使用阿司匹林及减少细胞数量的药物,对于低危患者,单用阿司匹林,对于中危患者,施行个体化治疗,一般先用阿司匹林。

  2. 医患沟通

  当诊断患者存在骨髓增殖性肿瘤(MPN)的时候,应向患者强调,在诊断后的 10 年内,患者的寿命与正常人无异,并且需要告知血栓形成以及出血的风险。该疾病转变为急性白血病的风险为 0.1%~5%,诊断 15~20 年后,发展为 PET-MF 的风险为 15%。另外,建议患者改变生活方式,并给予精神支持是必要的,同时,每位患者都可以获得一位临床护理专家的帮助。

  3. 全身症状

  MPN 的症状多样,没有特异性,最主要是疲劳。有的患者未感觉到症状,而有的患者夸大了疾病的表现。75% 的 ET 患者称,疾病影响了他们的日常生活。治疗时,应该综合考虑患者的症状,选择明智的方案。

  4. 危险因素

  所有的 ET 患者均存在血管危险因素,部分患者患有高血压、糖尿病和高胆固醇血症等易形成血栓的疾病。当然,除非有家族史或血栓形成病史, ET 患者一般不常规筛查血栓形成倾向。

  5. 抗血小板疗法

  过去,阿司匹林作为 MPN 一级预防的药物已经受到了广泛的认同,但是,现在可能需要再次评估。来自西班牙的一份回顾性研究对阿司匹林对于低危患者的效果提出了质疑,其中不包括 JAK2 V617F 突变及存在心血管危险因素的人群。

  目前,对所有新诊断的 ET 患者,均推荐使用低剂量的阿司匹林,对不能耐受阿司匹林者,可以更换另一种抗血小板药物,如氯吡格雷,但应注意出血的风险。当联用华法林或其他抗凝药的时候,应该格外小心。

  6. 细胞减灭疗法

  高危患者应使用细胞减灭疗法,治疗策略应根据患者年龄、病史、耐受性及对治疗的反应合理选择,另外,有出血风险的患者也可以使用细胞减灭疗法,当然,治疗中也要关注药物的副作用。HC 是推荐的一线治疗药物,阿那格雷与干扰素适用于年轻患者。

  HC 的效果是基于一系列随机试验得出的,优于其他的药物,副作用有口腔和大腿溃疡、肺炎、发热、精神作用以及影响血细胞计数。

  α- 干扰素适用于年轻人,对于孕妇和想怀孕的人安全。其对于 JAK2 V617F 和 CALR 突变的患者有效,到目前为止,还没有证据表明其能防止血栓栓塞的并发症。对于 PV 的患者,α- 干扰素的效果可能强于 HC。副作用包括情绪低落、易疲劳、出现类似感冒的表现、自身免疫性疾病和肝及甲状腺功能紊乱等。

  阿那格雷除了用于年轻人,也推荐用于对 HC 耐受的患者。除此以外,对于 60 岁以上的患者,单用阿那格雷或者是联用 HC,治疗效果也不错。不良反应包括心脏并发症、头痛和腹泻等。与干扰素类似,两者都不会增加向白血病转化的风险,但有学者担心,其会增加向骨髓纤维化转化的危险,相关的结果专家们目前还没有达成一致。

  当阿那格雷联合低剂量的阿司匹林时,会有大出血的风险,那么,这两种药能否联用呢?考虑到这种组合可以降低动脉血栓的发生率,临床上依旧联用阿那格雷与阿司匹林。

  不能耐受一线治疗的患者,怎么办?

  73 岁男性,诊断 ET 已经 12 年,使用 HC 治疗反应性好。目前血小板数 1400 x 109/L,血红蛋白与白细胞数正常。既往无高血压、糖尿病,无出血及血栓病史,最近的外周血涂片正常。由于服用药物,患者平均细胞体积变为 110 fL,铁储备及炎症指标均正常。

  本患者符合 HC 治疗无效的标准,这类患者生存率差,需要使用二线的药物,如白消安。对于病例三,可以使用 4 mg 白消安,一天一次,持续 7-14 天,4 周一个周期。除此以外,还可以使用 32P 或胍血生。以上的二线药物治疗 ET 均有效,但会促进白血病的转化。因此,对于老年 ET 患者,应限制使用。

  对于 HC 耐药的 ET 患者,新药不失为一种好的选择,如 JAK 1 和 2 的抑制剂可替尼。对于骨髓纤维化的患者,可替尼疗效出色。研究表明,其可以使脾缩小,改善患者的生活质量,减缓疾病的进程,延长寿命以及控制血细胞数和症状。可替尼对 PV 患者也有一定作用,可以减小脾的大小,调整血细胞比容以及控制症状。

  如何治疗怀孕期的 ET 患者?

  42 岁女性,低风险 ET,第一次怀孕。刚开始怀孕的时候,血小板计数 1250 x 109/L,血红蛋白 113 g/L,白细胞计数正常。无血栓栓塞疾病史,无心血管病史。

  ET 孕妇会出现一系列并发症,如早期流产、胎儿宫内生长受限、先兆子痫和死胎,JAK2 V617F 突变可能为这一系列并发症独立的预测指标。对于 ET 孕妇,除非有禁忌症,均推荐使用小剂量的阿司匹林。

  由于怀孕时的生理变化,血栓和出血的风险都大大增加,因此,治疗怀孕期的 ET 患者十分困难。在这种情况下,可以使用干扰素以及低分子量的肝素。

  对于处于生育年龄的患者,当其有怀孕打算时,应让她们告知医生。对于已经确诊怀孕的患者,应将其血小板调整到合适的范围内。孕妇由知晓产科的血液病学专家和专门的产科团队照顾,治疗方法遵循 BCSH 的指南(图 6)。

7.png

  图 6.BCSH 指南:孕期 ET 的处理方式

  高危患者使用减少细胞数量的药物,最常用的有 α- 干扰素,HC 致畸因此不能用。同时,无论高危患者还是低危患者,均应于分娩后应该至少使用 6 周低分子肝素来预防血栓形成。

  ET 患者手术应该注意什么?

  57 岁男性,中危 ET,血小板计数 950 x 109/L,血红蛋白与白细胞计数正常,使用阿司匹林。现需要行全髋关节置换术。

  回顾性研究表明,ET 患者术后血栓发生的风险是正常的 5 倍,出血的风险也大大增加。因此,需要早期识别这类患者,并对其进行干预。如果施行小手术,应将血小板降至 400 x 109/L 以下,术前 7 天停低剂量的阿司匹林,同时施行血栓预防措施。术后 6 周,应调控血细胞数目,并在条件允许时再次使用阿司匹林。

  血小板增多难以控制的患者,出现自发性以及术后出血的风险增加。一旦出血,应及时发现,第一时间进行治疗。除了标准的治疗方法,还可以通过输注血小板以及使用诸如凝血酸等抗纤溶蛋白的药物的方式来止血。

  疾病如果转化应该如何应对?

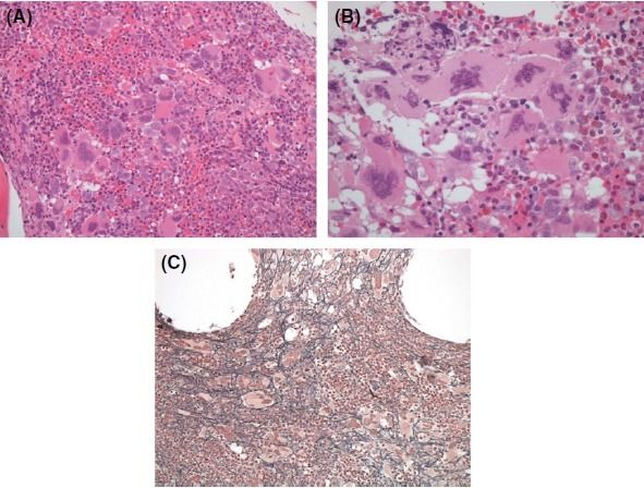
  为病例三的患者,现 75 岁,出现夜间盗汗,体重减轻及疲劳等症状。血常规示血红蛋白 96 g/L,白细胞 32 x 109/L,血小板 67 x 109/L。血涂片示出现异形红细胞,红系髓系增生,骨髓显示包括非典型巨核细胞在内的三系成熟细胞增多,并出现纤维化(图 7)。脾增大达 10 cm。

8.png

  图 7.PET-MF 的骨髓病理表现

  出现以上情况时,需要仔细评估来判断 ET 是否转变为 PET-MF,骨髓细胞遗传学检查必不可少。PET-MF 的治疗与 PMF 相似,两类患者对于治疗的反应性也相当。对于有全身症状或者脾肿大的患者,使用可替尼,并常规监测血细胞计数。

  如果转变为急性髓系白血病,则预后较差。

  治疗方式有:在高强度化疗的基础上,进行干细胞移植,该治疗方法较为强力,患者可以获得一较为持续的缓解期。也可以联用阿糖胞苷和可替尼,该方法的效果,目前还需要进一步研究。